|
Important information about teeth.
April 21,2013
Teeth
Hi ,

Since I was just in for my 6 month cleaning last week, I have been thinking about teeth this week, They are a pretty unique design. Of all the parts of our body that are exposed to the outside world, they are the only tissues that do not shed. The primary defense our body uses to deal with all the exposure to negative bacteria, toxins, and abuse is to constantly shed the surface cells and replace them with new ones. Even the eyes do this constantly. But the teeth do not shed. Instead they are built like apartment buildings with thousands of rooms and hallways for white blood cells to wander around in as sentry guards to protect the "building" from the poisons and bad guys. The tooth enamel is super hard to be able to withstand the physical abuse of chewing.
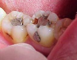
Everything is well and good as long as the protective shell of tooth enamel stays intact. The bad guys stay out and the good guys stay in the "building". But if the protective shell is burnt away by acids attacks from certain groups of unfriendly bacteria then the inner passageways of the tooth can become home to all sorts of very nasty bacteria. This is why when we get a cavity in a tooth we have the cavity filled to block up the holes into the tooth that bacteria could use to gain entrance.

The average mouth is home to between 200 to 500 different strains of bacteria. In a healthy mouth the good bacteria far outnumber the bad bacteria and that keeps the bad bacteria in check. But what determines which bacteria grow in the mouth is determined by what foods we put in our mouth. Certain foods feed mainly the good guys and other foods feed the bad guys. If you eat too much of the bad foods the bad bacteria grow very rapidly and take over the mouth.
What is the primary food for the bad guys? You already know this, the same food that is bad for all the rest of your body - sugar. The main bad guys are streptococcus mutans, streptococcus sobrinus, and lactobacillus (yes the one yogurt has in it.) The bugs break down sugars and form lactic acid, which demineralizes the teeth creating holes in them. Anything that neutralizes acid helps stop this process. For that reason your best friend is your own saliva. It buffers the acids to stop the acid attack. If your saliva production is decreased for any reason you become much more susceptible to cavities. More than half of the drugs commonly used today decrease saliva, as do many of the recreational drugs like tobacco, marijuana, meth, and anything that gives you "dry mouth".

Once the surface of the tooth is weakened then any number of other nasty bacteria can set up shop inside the thousands of tiny tunnels stretching hundreds of miles that are in natural teeth. Much research recently has focused on systemic problems like heart disease (bacterial endocarditis), bacterial pneumonia, and diabetes being caused by the bacteria hiding in teeth and gums leaking into the blood stream.
In fact huge amounts of research was performed back in the 20's under the direction of Dr. Weston A. Price - the founder of the research branch of the National Dental Association. Under his lead researchers found what I feel is conclusive proof that 99% of the teeth that have had root canals are filled with infections of dangerous anaerobic bacteria that are able to leak out into the systemic circulation and cause disease elsewhere in the body. Most doctors no longer believe the results of this research, but those that do practice what is know as Biological Dentistry.
http://www.drerwin.com/article_06_rootCanals.html

So getting cavities is a bad thing. What do you do if a cavity develops? It first appears as a whitish patch on the surface of the tooth where the enamel has weakened. If you catch it at this stage, the tooth can be remineralized and restored back to health. But to get this to happen you have to remove all sugar from the diet and keep the saliva pH above 5.5. To do this you must eat a more alkaline diet of vegetables and consume more calcium to provide the right environment for the tooth to rebuild. Once an actual cavity has formed it does not fill back up so a filling becomes necessary.
My personal policy is a zero tolerance for mercury exposure so I won't use mercury amalgam fillings. Amalgam is cheaper and quite durable, but it leaches mercury into the body. The AMA insists the amount of mercury leakage is fine, but the AMA was originally founded to promote the use of mercury fillings back in 1859 by a bunch of dentists that were thrown out of the dental society of the time that considered mercury use unethical. They have been actively promoting mercury fillings and more recently water fluoridation (another highly toxic compound) for over 150 years. Even today they are getting licenses revoked of dentists that recommend removal of mercury amalgam fillings. There is controversy as to exactly how much mercury poses a health risk. But several countries have banned its use completely.
http://www.drwolfe.com/dentistry/mercury_fillings
The next choice is the use of composite materials that are hardened in place with the use of ultraviolet light. These make a nice filling but only last about half as long as a mercury filing. Gold is an excellent choice, but at current gold prices there are not many dentists left that will work with it. Ceramic materials made at a dental lab are also an excellent choice - pricey, but not as pricey as gold. The problem with ceramic is the wait time between when your dentist takes an impression of the tooth area to be replaced, and when the lab gets the replacement made. You can be wandering around for weeks waiting for that piece to be made having to make do with temporary materials in your mouth.

The newest toy on the market for the modern dentist is called Cerec. My dentist, Dr. Mohamed, just got one. I think they cost about as much as an average house. They are a digital 3D imaging system that pictures the area of the tooth to be replaced and then mills it directly from ceramic material literally while you wait. The newest systems produce crowns and tooth parts that match or fit better than dental lab molded products. And best of all no waiting around for weeks for the job to be finished. They are pretty amazing.
I like my dentist because he was trained in Europe without the biases of the American Dental Association ruled dental training. Plus, he did a year of postgraduate training in London in the program that produces the top dentists in the world. Somehow, coming from Alexandria, Egypt, he ended up right here in Fair Oaks right next to the Raley's store on San Juan. He is a very jovial fellow.
http://www.fairoaksdentists.com/our-dental-team.html
Our teeth are the first stage of digestion. Without the ability to properly chew our food we can not get the nutrition we need to be healthy. Much of the nutrition is locked up inside cells that our digestive juices can not break through. We have to physically tear these cells apart to release the nutrition. Our teeth are important for keeping us healthy, but as this article shows us, improper care of our teeth can spell health disaster for us. They can become hiding grounds for infections that can poison us slowly. We need to keep our teeth strong and protected from harmful bacteria. Proper cleaning and the avoidance of simple carbs and sugars is essential.

It is interesting that archeological findings of hunter-gatherer Paleolithic Men show no dental decay in their teeth. It is not until men started eating grains and tubers that cavities show up. Even though early dental procedures have been known for thousands of years, it was not until the discovery and cultivation of cane sugar that dental caries became a major disease. Now it is the most common disease in America today. Maybe our hunter-gatherer forefathers were on to something good.
Be healthy,
David

Announcing cute new packaging for Loving Life Elixir.
Hours Changing at FOHAC for Dr. DeLapp
We are returning to Wednesdays as our short day beginning April. Our new hours will be 9 to 1 Monday through Friday and 3 to 6 Mon, Tues, Thurs, and Friday.
How to find us -
Our address is 9725 Fair Oaks Blvd.
If you are coming from the Roseville area you could come down Sunrise Blvd, but that is a long trek. It is probably shorter time wise to come down Auburn Blvd - San Juan Ave like you have been for the Sunset
office, but instead of turning left at Sunset, keep going straight 3
more lights to Fair Oaks Blvd and turn left. Go down 2 lights to New York Ave, go through the intersection, and immediately turn into the turn lane once the center divider ends. We are on the left.
See you soon,
David
You
are free to reprint this article in your newsletter as long as you
include the following statement in the same size type and color:
"This article appears courtesy of Fair Oaks Health News, offering natural and healthy solutions for body, mind and soul. For a complimentary subscription,
visit http://www.fairoakshealth.com"
|